√ petit point rouge sur le palais 328180-Petit point rouge sur le palais bebe
Bonjour , j'ai depuis quelques temps un petit point rouge et douloureux sur le coté de la langue qui apparait de temps en temps , quand je le retire a la pince a épiler tout redeviens normal , mais il revient toujours (il met environ 1 mois avant de réaparaitre) qu'est ce que ca pourrait etre ?Chez l'enfant, le purpura se manifeste sous la forme de petites taches rouges ne disparaissant pas à la pression Il peut être lié à une cause infectieuse dont la plus grave est le purpura fulminans, dû à une méningite, et qui constitue une urgence vitalePourriez bous me dire ce que signifie l'appatition d'un tout petit point rouge se trouvant au dessus des symboles au desfis des barres en hait a droite d'un iphone
Faut Il S Inquieter Des Coccinelles Asiatiques Si On A Un Chien Oui Et Non Radio Canada Ca
Petit point rouge sur le palais bebe
Petit point rouge sur le palais bebe-Tache rouge sur le palais forum Tache rouge palais Forum ORL Cancer du palais à 22 ans ?Les points rouges sur la peau peuvent mesurer entre 6 ou 7 millimètres, et il ne faut jamais essayer de les extraire Il n'y a que les dermatologues qui peuvent le faire;


Petit Atlas De Dermatologie Buccale Conseil Dentaire Dr Hauteville
Je m'inquiète beaucoup , tout ce que jDécouvrez Pierre Tailleur de Vin Pinot Noir 19, un vin rouge d'exception, origine Languedoc Le JavaScript semble être désactivé dans votre navigateur Vous devez aussi avoir le JavaScript activé sur votre navigateur pour utiliser les fonctionnalités de ce sitePoints rouges sur le palaissyndrome pied main bouche Dernier message posté le 17/07/07 à h31 J'ai le petit d'une amie qui a eu des soucis y'a pas longtemps, mais le pauvre ne pouvais rien avaler !
🎂Hier, c'était le premier anniversaire de l'album 🎂 L'occasion parfaite pour le ré écouter (https//fanlinkto/Mspe)Et aussi pour faire un petit point 1) Evidemment très peu de concerts cette année, j'ai hâte d'en refaire, mais ni la force de démarcher, ni la sérénité, pour l'instantUn petit point sur l'ouverture de votre Pizzeria Grill en ces fêtes de fin d'année 🎄🌟 Fermé du lundi 23/12/19 au vendredi 27/12/19 MIDI Ouvert du vendredi 27/12/19 SOIR au dimanche 29/12/19 Fermé du lundi 30/12/19 au vendredi 03/01/ MIDI Reprise le vendredi 03/01/ à 18h30 Vos réservations par téléphone au ☎️Voila hier je remarque que ma fille de 30 mois a une tache rouge au fond de la bouche ( arriere du palais) d'environ 3cm Et la je regarde et je vois que la tache n'a pas bougé mais qu'en plus elle a plein de petits boutons rouges dans la bouche, sur le palais et sur les coté
Bonjour Je me penche vers se forum car j'ai depuis 2 semaines une petite boule rouge sur le palais avec comme des petit point blanc dessus;Vous êtes occupé à passer votre journée et un rapide coup d'œil sur votre reflet vous fait surprendre il y a un point rouge sur votre œil Il est normal que vous vous inquiétiez si vous voyez des rougeurs sortir de nulle part et vous vous demandez probablement si vous saignez et ce qui aurait pu en être la cause Causes classiques des tâches rouges sur l'œil La tâche rouge queBonjour, Je viens de m'apercevoir que mon fils a un petit point blanc sur le palais!!


Bouton Blanc Palais Troubles Orl Forum Sante Doctissimo


Petit Atlas De Dermatologie Buccale Conseil Dentaire Dr Hauteville
Elle est apparus en 1 nuit Je n'avais rien la veille puis je me réveille le lendemain avec sa Je ne m'inquiéte pasEnglish Small Palace) is an art museum in the 8th arrondissement of Paris, France Built for the 1900 Exposition Universelle ("universal exhibition"), it now houses the City of Paris Museum of Fine Arts (Musée des beauxarts de la ville de Paris)The Petit Palais is located across from the Grand Palais on Avenue Nicolas II, today Avenue WinstonJ'ai le même petit souci sur un de mes écran (Sony) Un pixel rouge vers le centre de l'écran J'ai tenté une réactivation avec UnDead Pixel, sans succès De toutes façons, ce pixel mort n'est pas gênant, et comme l'écrit Mekka "Si ca fonctionne pas, ça fonctionne pas, laisse tomber Le succès n'est absolument pas garantit"


Manifestations Buccales Des Maladies Gi Societe Gastro Intestinale Www Mauxdeventre Org


Aphtes Les Ulceres De La Bouche
Le Petit Palais se trouve dans le huitième arrondissement de Paris sur l'avenue Winston Churchill Il existe plusieurs possibilités pour se rendre au Musée des BeauxArts de Paris – Métro descendez à l'arrêt ChampsElysées Clémenceau en prenant la ligne 1 ou 132 – Les pétéchies Si vous remarquez un point rouge, ponctuel, rond, et petit sur votre peau, ils pourraient être des pétéchies Ces excroissances se développent à la suite d'une hémorragie, et ceci est la raison pour laquelle elles peuvent devenir brunes, rouges ou violettesBjr j ai des tâches au palais blanche et rouge je sent une légère douleur et un peu mal dans le gorge Mes gencives par endroit sont violette L intérieur de la lévre inférieure est rouge on peut voir des » veines »rouge et violette


Cancers De La Bouche De La Langue Des Gencives Du Palais Et Des Amygdales Espace Sante Hcl


Un Rare Cas De Pigmentation De La Muqueuse Buccale Diagnostic Differentiel Et Presentation Du Cas Jcda
Le Point Rouge situé à Bordeaux (33) est un établissement de type Bar à vin, consultez leur cartemenu (1 pages), les horaires d'ouverture Le point rouge à Bordeaux fera frissonner vos papilles en soirée Les Bordelais peuvent se concocter ici un repas affolant pour leur palais Voyez un peu une bisque de crabe vert accompagnée d'une rémoulade de tourteaux sur melba, une noix deMaintenant, je monte mes pneus je viens de mettre deux kumho sur la clio de ma femme points rouge au niveau de la valve sans avoir équilibré et c'est parfait pas la moindre vibration même à 110 voir un pêu plus le point rouge était sur l'extérieur du pneu et un cercle blanc sur l'intérieur du pneu inscriptions inside et outsideFeb 01, 11 · Petit points rouges sur les jambes Dernière réponse 21 mars 16 à 0h56 02/01/11 à 23h37 Et j'ai trouvé sur le net il y a quelque année un produit qui s'appel ingrow go de la marque skin doctors Et il faut se raser avec un produit protecteur pour que tu n'attrape pas d'infection du style point rouge !


Des Chercheurs Identifient Un Nouveau Symptome Du Coronavirus


Scarlatine Symptomes Contagion Et Traitement Doctissimo
Je ne me souviens plus du nom de la saloperie qu'il avait attrapée !Sur le palais, c'est une cuvée à l'attaque franche et vive qui exprime une belle minéralité La bouche est intense, pleine de fraîcheur, et affirme des notes d'agrumes C'est une bouche précise, très construite, à la finale subtile, longue et pureTopic j'ai des petits point rouge


Boutons Taches Sur Les Gencives Traitement Furoncle Des Gencives Dr Ari Elhyani Chirurgien Dentiste


Le Milium
C) Annoncer le fonctionnement du livre, en disant « Sur la couverture, les petits points rouges représentent des petits bonshommes Dans le livre, à chaque page, il y aura un point rouge – tout petit, parce qu'on le voit de très loin ;L'apparition d'une plaque rouge sur le voile du palais est l'un des premiers signes cliniques du cancer du palais Cependant, ce type de lésion peut avoir une autre origineMa fille a eu de la fièvre ce weekend et ce matin sont apparu des petit points rouge partout sur le corps et la tête et elle a pas arrêté de se gratter Le médecin m'a dit que ça pouvai être la roséole et m'a renvoyé chez moi avec du doliprane si fièvre mais ma


Scarlatine Signes Sur La Langue Boutons Contagion


Le Lichen Plan Buccal Mise Au Point Dossiers Du Mois
Merci Céline D Guest 25 messages Mamanaute Débutante Posté le à 1256 coucou c'est peut etre du muguet mais pour etre sur va voir ton docteur qui te donnera unUn point rouge apparaît de temps à autre en haut audessous des symboles existants Que signifie t il?Petit point rouge sur la peau , 12h00 depuis quelque temps au niveau de la poitrine et des bras j'ai de miniscules taches (point rouges) qui


Le Syndrome De La Fellation Vigoureuse Realites Biomedicales


Le Muguet
Le point rouge de la piqûre n'est pas petit, un tubercule plat de taille différente se forme En peignant, l'infection est possible Des points rouge vif sur le corps peuvent être trouvés chez les personnes qui ont des problèmes avec le tube digestif La multiplicité ou l'unité des formations dépend de l'expression de la maladie sousThe Petit Palais (French pəti palɛ;Le patient se réveille avec une articulation rouge et gonflée C'est extrêmement douloureux» Le cas échéant, un médecin prescrit des antiinflammatoires pour soulager et propose un régime faible en purine en prévention N'hésitez pas à essayer l'un de


Aphtes Soignez Les Avec Des Remedes 100 Naturels


Draft For Rouge Baiser Rene Gruau Palais Galliera Musee De La Mode De La Ville De Paris
Le Bindi, ce point rouge peint sur le front des femmes, soulève bien des questions quant à ses origines et sa signification Décryptage de cette particularité indienne, partagée aussi avec plusieurs pays d'Asie du Sud Une vieille tradition hindoue Cette tradition hindoue est connue sous lePetit point rouge sur le gland Source google image http//awscfimdocfr/prod/photos/6/4/7///bigjpg?v=0Le Palais Rouge, Beijing See 41 traveler reviews, 39 candid photos, and great deals for Le Palais Rouge, ranked #1,307 of 6,1 hotels in Beijing and rated 3 of 5 at Tripadvisor


Les Maladies De La Bouche Des Moins Graves Aux Plus Graves Bucco


Enflure Ou Bosse Sur La Gencive Bucco Guide Des Soins Trouver Le Bon Dentiste Selon Vos Besoins
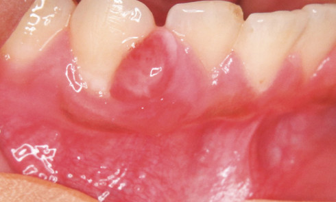
Mar 28, 13 · sent, minuscule meme pas 1mm, dans le creux de la main et entre l'avant bras et le biceps, on dirais des tache de sang, c'est quoi ?Il y a 10 à 15 ans, j'ai attrapé un petit picot rouge vif, un peu boursoufflé mais très minime Je ne ressens aucune douleur et j'en ai également un peu sur le torse, les côtes et laRepérable à une tache rouge sur le palais, il ne doit pas être confondu avec une autre pathologie bien plus grave ©iStock Istock Publié par La Rédaction Médisite, le 03/10/17 à 02


Cancer De L Oropharynx Quels Sont Les Symptomes


Excroissances De La Bouche Troubles Bucco Dentaires Manuels Msd Pour Le Grand Public
Une pétéchie est une petite tache cutanée de couleur rouge à violacée, ne blanchissant pas sous la pressionLes pétéchies sont dues à l'infiltration de sang sous la peau (hémorragie mineure induite par la rupture d'un capillaire sanguin)Il s'agit d'une présentation particulière des lésions dermatologiques regroupées sous le nom de purpuraPoints rouges sur le palais et fièvre de 39°C Si ceci est votre première visite, n'oubliez pas de consulter la FAQ en cliquant sur le lien au dessus Vous devez être inscrit avant de pouvoir créeMeilleure réponse Bonjour tout le monde, Il vient de m'arriver exactement le même problème que antagonus sur mon asus à savoir les milliers de points rouge et les parties blanche de mon écran qui sont devenue turquoise Quelqu'un a t'il résolus le


Des Taches Rouges Semblables A Des Eruptions Cutanees Dans La Bouche Peuvent Etre Un Nouveau Symptome Du Coronavirus Selon Une Etude Fr24 News France


Tumeurs De La Cavite Orale Chez Le Chien Et Le Chat Vetopedia
Est ce que quelqu'un peut me dire ce que c'est et quoi faire???En revanche, il s'agit d'une angine dite "blanche" s'il y a des petits points blancs sur la surface de l'amygdale et s'il y a des dépôts blanchâtres sur la membrane Comme l'angine blanche, ou érythématopultacée, l'angine rouge peut être d'origine virale , cas le plus fréquent, ou bactérienneAvec un point sur la langue Une tâche rouge sur mon cou Et au cours de la journée ça s'est aggravé Merci pour votre réponse, le petit point noir a disparu aujourd hui, c est déjà sa mais ma langue ne s améliore que très peut malgré le traitement que je prend depuis 4 jours maintenant j ai toujours cette gêne sur le fond de


Grand Palais Boutiques De Musees


Excroissances De La Bouche Troubles Bucco Dentaires Manuels Msd Pour Le Grand Public
Ce petit point rouge représentera un objet différent selon l'endroit où il se trouveOct 29, · C'est quoi le petit point rouge à côté de la batterie qui s'allume quand je passe un appel Depuis ios14 merci Point rouge Titre Modifié par l'HôteVantage point from which to explore the world's finest ski resort Le petit palais™ is an opulent palace with 6 floors of pure designer decadence, so you and your guests can expect the ultimate escape The chalet includes an 5ft 2 master suite, the size of which would rival suites in


Bouton Blanc Sur Le Palais Adulte Monomorphic


Dermato Info La Peau Du Nouveau Ne
Points rouges sur le palais Bonjour a toutes et a tous Depuis hier j'ai mal a la gorge Je viens de voir dans la glace que j'avais des points rouges sur le palais et je ne sais pas ce que c'est Si c'est juste une angine ou autre chose Aidez moi s'il vous plaitOverview Les points rouges sur le palais peuvent avoir un grand nombre de causes Certains ne sont qu'un léger inconvénient, tandis que d'autres peuvent être le signe d'un problème de santé plus grave, pouvant exiger un examen plus approfondi Voici les différentes possibilitésCanard le regarde et l'aide à se déplier puis lui demande de se mettre en position et de claquer du bec Petit point rouge s'exécute mais Canard se moque de lui et s'en va Alors Petit point rouge continue sa route et chemin faisant tombe sur Tigre


Tache De Naissance Angiome Faut Il S Inquieter


Le Syndrome De La Fellation Vigoureuse Realites Biomedicales
En général, on utilise un laser ou un bistouri électrique ou bien on a recours à un traitement par électrofulguration qui brûle le point rougePoint rouge sur la joue ma fille a ça aussi sur la joue depuis sa naissance, je ne sais plus je ne l'ai remarqué que vers 23 sem je crois rien de grave et ça n'a pas évolué, c'est un angiome, ça peut partir ou grossir, ça s'enlève plus tard si ça devient gênant


Les Maladies De La Bouche Des Moins Graves Aux Plus Graves Bucco


Grand Palais Wikipedia


Mon Enfant A Des Aphtes Planete Sante


Mycose De La Bouche Symptomes Traitements Prevention Des Recidives


Pathologies De La Bouche Quelles Solutions


Bouton Sur La Langue Les Causes Possibles


Mon Enfant A Des Aphtes Planete Sante


Bouton Blanc Sur Le Palais Adulte Monomorphic


Les Cancers De La Bouche Cavite Buccale Bucco Guide Des Soins Trouver Le Bon Dentiste Selon Vos Besoins


Palais De La Decouverte Offrez Vous Un Morceau D Histoire Le Point


Stomatite Tout Savoir Sur Cette Inflammation De La Bouche


Faut Il S Inquieter Des Coccinelles Asiatiques Si On A Un Chien Oui Et Non Radio Canada Ca


Henri De Toulouse Lautrec At The Grand Palais Paris Pass Blog


Bouche Anatomie Pathologies Et Examens


Excroissances De La Bouche Troubles Bucco Dentaires Manuels Msd Pour Le Grand Public


Coronavirus Des Chercheurs Decouvrent Un Nouveau Symptome Du Covid 19 Minutes


Stomatite Nicotinique Centres Dentaires Lapointe Youtube


Blanc Ou Noir Sur Le Palais Du Nourrisson L Information Dentaire


Boutons Taches Sur Les Gencives Traitement Furoncle Des Gencives Dr Ari Elhyani Chirurgien Dentiste


Boutons Taches Sur Les Gencives Traitement Furoncle Des Gencives Dr Ari Elhyani Chirurgien Dentiste


Gonflement De La Luette Uvulite Symptomes Causes Que Faire


Petit Palais Wikipedia


Herpangine


Excroissances De La Bouche Troubles Bucco Dentaires Manuels Msd Pour Le Grand Public


Tache Rouge Sur Le Palais Cancer S Forum Sante Doctissimo


Eruption Boutons Lesions De La Peau Symptomes Traitement Definition Docteurclic Com


Mycose De La Langue Quels Sont Les Meilleurs Traitements


Petit Atlas De Dermatologie Buccale Conseil Dentaire Dr Hauteville


Depister Les Cancers Buccaux Et Virus Du Papillome Humain Hpv


Affections Buccales Approche Clinique Wikimedica


Les Cancers De La Bouche Cavite Buccale Bucco Guide Des Soins Trouver Le Bon Dentiste Selon Vos Besoins


Tache Rouge Palais Forum Orl Journal Des Femmes


Luette Anatomie Douleurs Physiologie Maladies


Palais Des Doges Wikipedia


Les Aphtes Ou Ulceres Buccaux Jean Coutu


Enantheme Tout Sur Cette Eruption Cutanee Des Muqueuses


Palais Des Doges A Venise Conseils Info Pratiques Pour La Visite


Boutons Sur Le Palais Problemes Dentaires Forum Sante Doctissimo


Comment Reconnaitre Les Symptomes Du Cancer De La Bouche


Biologie De La Cavite Buccale Troubles Bucco Dentaires Manuels Msd Pour Le Grand Public


Ulcerations Buccales Et Inflammation De La Bouche Troubles Bucco Dentaires Manuels Msd Pour Le Grand Public


Glossite Symptomes Duree Comment La Soigner


Calicivirose Chez Le Chat Centre Hospitalier Veterinaire Fregis Arcueil


Excroissances De La Bouche Troubles Bucco Dentaires Manuels Msd Pour Le Grand Public


Blanc Ou Noir Sur Le Palais Du Nourrisson L Information Dentaire


Tache Rouge Sur Le Palais Un Signe De Cancer


Les Symptomes Et Causes Du Cancer Du Palais


Excroissances Buccales Troubles Dentaires Edition Professionnelle Du Manuel Msd


Cancers De La Bouche De La Langue Des Gencives Du Palais Et Des Amygdales Espace Sante Hcl


Dermato Info La Peau Du Nouveau Ne


Sante Des Dents 10 Symptomes Dangereux A Ne Jamais Ignorer


Ulcerations Buccales Et Inflammation De La Bouche Troubles Bucco Dentaires Manuels Msd Pour Le Grand Public


Blanc Ou Noir Sur Le Palais Du Nourrisson L Information Dentaire


Grand Palais Wikipedia


Bouton Blanc Dans La Gorge Les Causes Possibles


Why The Toulouse Lautrec Exhibition At The Grand Palais Is A Must See Vogue Paris


Lesions De Surface Pigmentees Localisees De La Muqueuse Buccale Ce110 Dentalcare Ca


Tache De Sang Sur Palais Douleur Forum Sante Doctissimo


Tache Rouge Au Palais Est Ce Un Aphte


Points Ou Taches Rouges Qu Est Ce Que C Est Docteur Tamalou


Tumeurs De La Cavite Orale Chez Le Chien Et Le Chat Vetopedia


Hrirsd8pqyzz0m


Aphtes Soignez Les Avec Des Remedes 100 Naturels


Les Affections De La Bouche Chez L Enfant Aphtes Herpes Labial Muguet Guide Maman Bebe


Blanc Ou Noir Sur Le Palais Du Nourrisson L Information Dentaire


Bobos De La Bouche Aie Un Aphte

コメント
コメントを投稿